无症状性支气管结核可能出现在以下情况中。首先,患者的免疫系统可能良好,可以有效地抵抗病原体的侵害,因此并不会出现明显的症状。其次,病原体的数量可能相对较少,不足以引起明显的病症。此外,患者的生活习惯和环境可能会影响病情的表现,例如不吸烟、保持良好的卫生习惯等,可以减少疾病的发展。
然而,尽管无症状性支气管结核并不会引起明显的不适,但这并不意味着疾病的风险可以被忽略。支气管结核是一种非常传染的疾病,患者即使没有症状,也有可能通过咳嗽、打喷嚏等方式将病原体传播给他人。因此,对于无症状性支气管结核患者而言,及早发现和治疗至关重要。
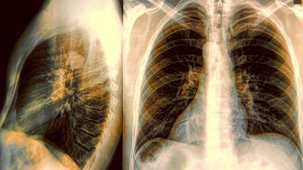
要及早发现无症状性支气管结核,关键在于定期进行体检。尤其是有一定风险的人群,应该定期接受胸部X射线检查或结核杆菌检测等相关检查。这些人群包括与结核患者长期接触的亲属、医务人员、糖尿病、艾滋病等免疫系统较差的患者,以及长期使用免疫抑制剂的人群等。
对于无症状性支气管结核患者的治疗,主要是通过抗结核药物进行。通常情况下,患者需要进行长达6个月或更长时间的治疗,才能达到治愈的效果。在治疗期间,患者需要坚持按时服药,并定期复查病情,以确保病菌完全清除。
总而言之,无症状性支气管结核是一种相对较少见但并不罕见的疾病表现。它可能出现在免疫系统较好、病原体数量较少或个人生活习惯良好的患者中。虽然它没有明显症状,但传染性仍然存在,并需要及早发现和治疗,以避免疾病的进一步传播和严重后果。因此,定期体检和关注自身健康状况是重要的,可以帮助我们及早发现无症状性支气管结核,并采取相应措施,保护自己和他人的健康。
2023-09-07